On childhood asthma and protein profiles in plasma


asthma.jpg
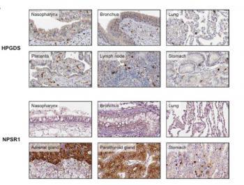
Protein levels of CCL5, HPGDS and NPSR1 in plasma

In a recent publication in European Journal of Allergy and Clinical Immunology, researchers use an affinity proteomics approach to analyze plasma profiles of a 362 proteins in 154 children with persistent or intermittent asthma and controls. To this end, antibody suspension bead arrays developed within the Human Protein Atlas was used.

Asthma is a common chronic childhood disease with many different phenotypes that need to be identified. Asthma affects approximately 300 million people worldwide and is characterized by bronchial hyperresponsiveness and reversible expiratory airflow limitation. Genome-wide association studies have revealed many candidate risk genes involved in different functions and pathways. Childhood asthma is a common chronic disease often characterized by eosinophilic activity and allergic inflammation.

After an initial analysis of plasma protein levels, the three proteins displaying the strongest association with asthma were further investigated; chemokine (C-C motif) ligand 5 (CCL5), hematopietic prostaglandin D synthase (HPGDS) and neuropeptide S receptor 1 (NPSR1).

The authors found significantly lower levels of both CCL5 and HPGDS in children with persistent asthma compared to healthy controls, while differences were not as pronounced in children with mild intermittent asthma. CCL5 is a chemotactic cytokine for T cells, eosinophils and basophils that has been shown to induce eosinophilic airway inflammation and airway hyperresponsiveness as well as to contribute to airway recruitment of fibrocytes in severe asthma.

In contrast to CCL5 and HPGDS, the NPSR1 levels were increased in plasma from both children with persistent and children with intermittent asthma compared to healthy controls. NPSR1 expression was also found to be higher in peripheral blood eosinophils from patients with persistent asthma compared to patients with mild asthma and healthy controls, suggesting that the NPSR1 signalling pathway is of importance to asthma, in particular in more severe disease.

In conclusion, the authors have utilized a broad-scaled affinity proteomics approach to identify three proteins (CCL5, HPGDS and NPSR1) with altered plasma levels in asthmatic children compared to healthy controls, representing the first evaluation of HPGDS and NPSR1 in plasma.

Explore CCL5 , HPGDs and NPSR1 in the Human Protein Atlas

Learn more about secreted proteins and the plasma proteome here >>

Read the whole article here >>