Meet the author: Mingdong Zhang


MingDong Zhang.jpg
Mingdong Zhang
NECAB.PNG
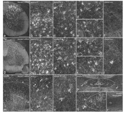
Necab2 mRNA distribution in mouse, rat and human spinal cord.

As a follow up from last week´s blog post, on Jan Mulder and his work, we now present the most recent publication from his lab, on the anatomical distribution of neuronal calcium-binding proteins 1 and 2 (NECAB1/2) in rodent and human spinal cord.

Mingdong Zhang is the first author of the study and a PhD student registered in the Division of Molecular Neurobiology, Department of Medical Biochemistry and Biophysics (MBB) at Karolinska Institutet.

– But much of my actual work is carried out in the Department of Neuroscience. My joint PhD program is running with Tibor Harkany as main supervisor in MBB, Tomas Hökfelt (Neuroscience) and Jan Mulder (SciLifeLab) as co-supervisors, he says.

Mingdong Zhang´s PhD-project focuses on calcium-binding proteins (CaBPs) with EF-hand motifs, which are involved in the regulation of neurotransmitter release in nervous system. CaBPs belong to the largest protein family encoded by human genome and only a limited number of them have been explored in detail.

– Based on the resources of the Human Protein Atlas project we work on the CaBPs secretagogin and NECAB1/2, he explains.

The recent publication in Brain Structure and Function, comparing the anatomical distribution of NECAB1/2 between rodents and human spinal cord, is a follow-up study of a previous report of NECAB1/2 in mouse dorsal root ganglia and spinal cord.

– In this new study, we show that both the distribution pattern (both at mRNA and protein levels) and the excitatory neurochemical phenotype of NECAB2 positive interneurons in spinal cord are conserved between rodents and human. We think it is important to validate rodents studies by also analyzing human tissue, especially if we want to make statements on a possible translational significance of our and others rodent data, Mingdong Zhang explains.

Now, Mingdong Zhang is investigating possible functional roles of NECAB2 in pain signaling based on spared nerve injury and inflammatory models in Necab2 and related transgenic mice.

Read more about NECAB1, NECAB2, and secretagogin in the Human Protein Atlas.

Read the whole article in Brain Structure and Function: Comparative anatomical distribution of neuronal calcium-binding protein (NECAB) 1 and -2 in rodent and human spinal cord